改善以下牙齒問題





在線預約
箍牙方式類型| ——— | 傳統牙箍矯正 | 隱形牙箍矯正 | 半隱形牙箍矯正 |
|---|---|---|---|
| 技術原理 | 金屬托槽+弓絲施加力 | 透明高分子材料牙套 | 陶瓷/透明托槽+弓絲 |
| 美觀度 | 明顯可見 | 完全隱形 | 近距離可見托槽 |
| 舒適度 | 初期易磨嘴 | 無金屬摩擦 | 托槽比金屬光滑 |
| 複診頻率 | 每月1次 | 每2-3個月1次 | 每月1次 |
| 日常維護 | 清潔困難 | 可摘戴易清潔 | 清潔難度中等 |
| 飲食限制 | 禁硬/粘性食物 | 進食時摘除無限制 | 禁硬/粘性食物 |
| 矯正精度 | 適合複雜病例 | 適合輕中度問題 | 接近金屬效果 |
在線預約
免費體驗3D口掃

預約免費3D口掃
箍牙流程

限時箍牙套餐| 項目 | 價格 | 優惠價 |
|---|---|---|
| 國產金屬自鎖 | 10800元 | 6900元經濟實惠 |
| 進口金屬自鎖 | 20800元 | 16800元 |
| 美國Ormico陶瓷自鎖 | 23800元 | 20800元 |
| 時代天使隱形牙箍*經典版 | 23800元 | 18800元性價比高 |
| 隱適美隱形牙箍*標準版 | 29800元 | 26800元 |
詳細了解套裝
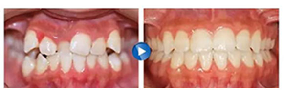
真實箍牙成功例子



查看更多個案
我們的服務優勢






接受人民幣、VISA、Master銀聯、微信、內地支付寶及香港支付寶
轉數快付款
點擊查看



